AI Image Detection in Scientific Research

Identify AI-generated images in scientific papers with confidence. Our AI Image Checker combines detection scoring and AI model attribution to support integrity in research publishing.

Trusted Image Integrity Solutions

AI-powered detection to identify synthetic and generated visuals in scientific figures.

Cutting-Edge AI Analysis

Using AI Image Recognition, our detection model identifies AI content in microscopy, histology, western blots, cell cultures and spot images with growing accuracy.

Built for the Research Community

Developed for publishers, institutions, and researchers, our AI Image Detector supports the verification of scientific figures across a wide range of disciplines.

Model Attribution and Transparency

Our latest update includes AI-model attribution and confidence scoring so you can better understand flagged results.

Detecting AI Generated Images in Research

With the rapid rise of generative models, distinguishing between authentic and synthetic visuals has become a growing concern for publishers, academic institutions, and researchers. Imagetwin’s AI Image Checker is designed to detect AI-generated visuals in scientific papers, providing clear assessments of confidence and likely source models such as DALL-E, GPT, Firefly (Photoshop), or Stable Diffusion.

This capability supports transparency, reproducibility, and trust in scientific publishing.

Spot the AI-Generated Image

With every passing day, it becomes harder to distinguish real from fake. Would you be able to spot the AI-generated fakes?

AI-Generated

Real

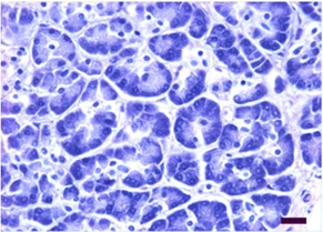
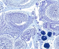
Examples of AI-Generated Scientific Images

Explore real examples of AI-generated scientific images and see how synthetic visuals can be difficult to distinguish from authentic research figures.

Western Blots

Microscopy

Histology

How Imagetwin Detects AI-Generated Scientific Images

With user-friendly AI tools for image analysis, integrity checks in scientific papers are accessible without sacrificing effectiveness.

1

Paper or Image Submission

User uploads entire manuscripts, files or individual images to our secure platform for analysis
2

AI-Powered Analysis

Our model uses pattern recognition and deep learning to detect AI-generated content, including generator attribution and confidence scoring.
3

Confidence Score & Reporting

Receive a comprehensive report highlighting detected issues. Each flagged figure is assigned a confidence score, helping users to assess risks

Powerful Features for Comprehensive Image Analysis

AI-Powered Image Recognition

Our AI Detector for Images is optimised for scientific visuals, offering precise pattern analysis in research figures.

Confidence Scores

Flagged images are assigned a detection probability score, helping users to assess risks more accurately.

Model Attribution

See which AI generator was likely used to create flagged images, including DALL-E, Firefly, and Stable Diffusion.

Bulk Scanning

Analyze large datasets efficiently with our batch-scanning feature. Ideal for publishers, journals, and institutions.

Comprehensive Reports

Easily generate detailed PDF reports summarizing integrity concerns.

All-In-One Integrity Analysis

Our platform also detects image manipulation, duplication, and plagiarism.

Why Choose Imagetwin?

We recognize that AI-generated image detection is an ongoing challenge, and we’re building a solution tailored for publishers, institutions, and the academic community.
Optimized for Scientific Images
Unlike generic AI detectors, Imagetwin is trained on scientific image datasets, covering microscopy, histology, and western blots.
Our detection process is designed to be efficient, helping journals, publishers, and institutions identify concerns early in the publication process.
We prioritize data encryption and privacy, ensuring your uploaded images remain confidential.
We acknowledge current limitations but are committed to expanding detection capabilities with ongoing research and improvements.
Our AI model is developed with input from publishers, universities, and researchers, ensuring real-world applicability in academic and scientific publishing.

Protect Research Integrity with Confidence

Start using Imagetwin to detect image integrity issues and support trustworthy research publishing.

Frequently asked questions

Imagetwin uses pattern recognition and deep learning models trained specifically on scientific image types. Each image is analysed and assigned a confidence score indicating the likelihood that it is AI-generated.

Imagetwin includes model attribution that identifies the most probable AI generator, including DALL-E, GPT, Firefly (Photoshop), and Stable Diffusion. The detail view shows the likely source model or models for each flagged image.

AI detection is applied to microscopy, histology, western blots, cell cultures, and spot images. The model is continuously updated to improve accuracy across these image types.

Detection accuracy varies by image type and is continuously improving. Imagetwin’s effectiveness has been validated in independent academic studies. We are transparent about current limitations and committed to ongoing improvement.

Imagetwin is designed to detect AI-generated content even when images have undergone post-processing such as cropping, resizing, or colour adjustments. However, heavily modified images may reduce detection confidence.